- Salud
Rebrota un virus mortal que no tiene cura y deja sus primeras víctimas
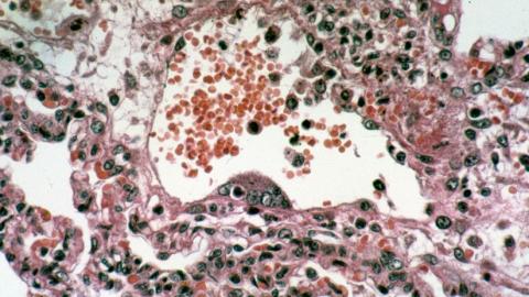
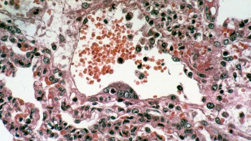
~~Un brote de Nipah, un virus incurable, se está observando estos días en el estado indio de Kerala, informa The Times of India. Las autoridades sospechan que la infección se ha cobrado la vida de al menos 10 personas, entre ellas médicos, pero actualmente se ha confirmado solo en tres fallecidos.
El virus ha sido hallado en los cuerpos de los miembros fallecidos de una familia de la localidad india de Changaroth. Los investigadores encontraron ejemplares de murciélagos de la fruta –los principales portadores de la infección– en un pozo abierto propiedad de la familia. Ahora, debido a que el Nipah se transmite a través de la saliva de los infectados, las autoridades custodian a personas que puedan haber estado en contacto con los fallecidos y estén en riesgo de haber contraído el virus.
Las estadísticas indican que el Nipah tiene potencial para causar una pandemia mortal, la razón por la cual la Organización Mundial de la Salud considera una prioridad la investigación urgente sobre el virus, como ocurre con el ébola y el síndrome respiratorio agudo grave (SARS, por sus siglas en inglés), publica Science Alert. El medio también señala que actualmente Kerala registra con una treintena de hospitalizados por sospechas de estar infectados del virus Nipah.
Los huéspedes naturales del virus son los murciélagos de la fruta, y el Nipah se transmite a través de su saliva, que puede quedarse en frutas mordidas por los murciélagos y así infectar a otros animales y personas.
El virus se descubrió en Malasia en 1998, cuando una extraña enfermedad fue detectada en 265 personas, que presentaban cuadros de fiebre e inflamación cerebral. Más de un centenar de personas fallecieron como consecuencia de aquel brote.
Encuesta
Destacadas
-
Agosto, mes con un aumento en muertes y casos nuevos por COVID-19SaludHace: 4 años 5 meses -
Se les muere árbol a ecologistas de banquetaOaxacaHace: 4 años 5 meses -
Gobierno de Oaxaca crea condiciones para el desarrollo del campoGobiernoHace: 4 años 5 meses -
Suman 233 casos nuevos de Covid-19, 20 defunciones y mil 965 activosSaludHace: 4 años 5 meses -
Entra en vigor ley que declara los concursos de belleza como violencia simbólica en OaxacaCongresoHace: 4 años 5 meses -
Tercera ola de COVID-19 aumenta a 3 mil casos en una semanaSaludHace: 4 años 5 meses
-
Espacios cerrados y con deficiente ventilación, propicios para contagios de COVID-19: SSOSaludHace: 4 años 5 meses -
Gobierno de Oaxaca aplica con transparencia y eficacia recursos por más de 2 mil 348 mdp en 177 proyectos: Lazcano VargasGobiernoHace: 4 años 5 meses



